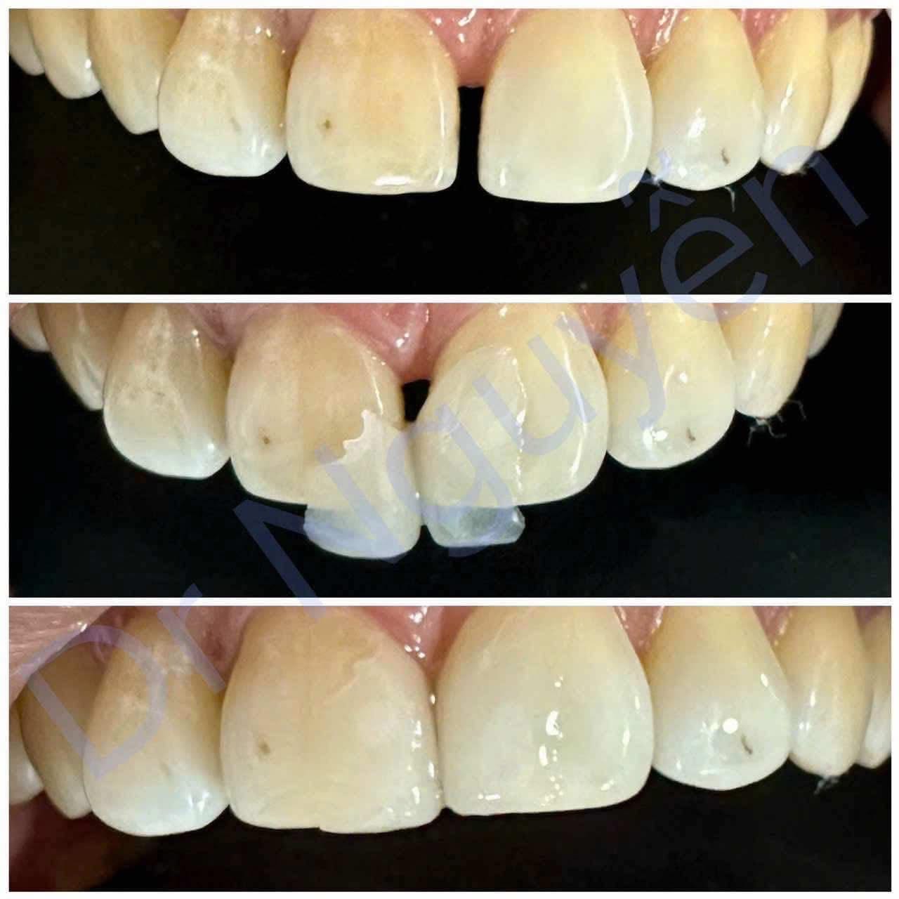
Mách Bạn 5 Bước Thực Hiện Dán Sứ Non - PREP Veneer Tại Trung Tâm Răng Hàm Mặt Việt Mỹ


Bước 1. Thăm khám và đánh giá tình trạng răng trước khi thực hiện
Bước 2. Lên phác đồ điều trị răng
(tư vấn màu sắc và hình dáng răng phù hợp theo nhu cầu của khách hàng)
Bước 3. Điều trị bệnh lý, vệ sinh lấy dấu 🦷 Răng
Bước 4. Thiết kế răng sứ dán non - prep
Bước 5. Thực hiện dán sứ non prep Veneer
Dc: Số 2 Hoàng Hoa Thám P7 Quận Bình Thạnh TPHCM
☎️0909.646.196 - 0903.321.013